Ini Gambar Mengerikan Ketika Kembang Api Meledak di Tangan Seorang Pemuda
Gambar mengerikan di sini menunjukkan apa yang terjadi saat sebuah kembang api meledak di tangan seorang pemuda.
Penulis: | Editor:
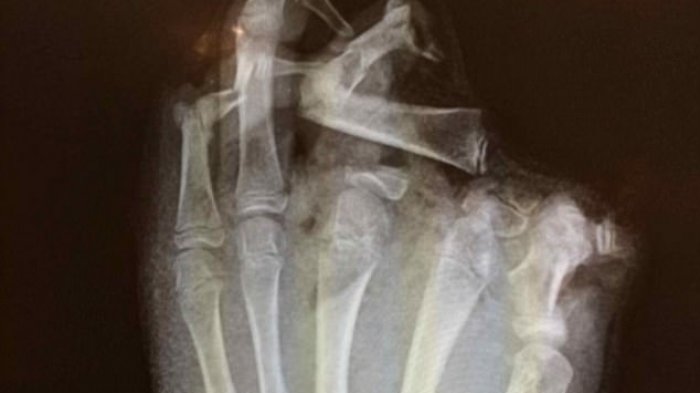
TRIBUNPEKANBARU.COM - Gambar mengerikan di sini menunjukkan apa yang terjadi saat sebuah kembang api meledak di tangan seorang pemuda.
Remaja tersebut menderita luka yang mengubah hidup, kehilangan ibu jari dan jari telunjuk dan jari tengahnya dalam ledakan tersebut.
"Ini adalah luka yang menghancurkan karena ini berarti hilangnya apa yang dikenal sebagai pegangan penjepit - mampu memegang benda antara jempol dan jari," jelas Joe Mulligan, kepala pendidikan pertolongan pertama di Palang Merah.
Dilansir dari DailyMail Gambar tersebut telah diposting pada Figure 1, sebuah situs dimana dokter di seluruh dunia berbagi gambar medis dan meneliti pendapat mereka.

Itu diupload oleh dokter anak yang berbasis di Amerika Utara, yang merawat pasien tersebut.
Dia berkomentar: "Cedera kembang api lainnya. Untungnya (?) Itu adalah tangan pasien yang tidak dominan.'
Pasien terutama ditinggalkan hanya dengan sendi PIP (proksimal interphalangeal) menyatu- yang ditemukan di sekitar setengah ruas di jari-jari.
Mulligan menjelaskan bahwa remaja tersebut akan mengalami pendarahan hebat.
"Dalam kasus seperti ini, Anda perlu membersihkannya - seperti selembar kain - dan berikan tekanan pada area yang rusak untuk menghentikan pendarahan."
"Ini juga penting untuk mencoba merawat bagian-bagian - dalam hal ini jari-jari,"
"Jika satu digit mungkin bisa diselamatkan, bungkuslah itu dengan kain bersih dan letakkan di kantong plastik atau clingfilm lalu di dalam kantong atau seember es yang hancur. Anda harus menghindari kontak langsung dengan es, atau akan menyebabkan es menyala."

"Kedengarannya gila, tapi jangan lupa bawa jari itu ke rumah sakit," tambahnya.
"Mengherankan seberapa sering dalam kekacauan, orang menjadi terganggu dan melupakannya."
Saat kita mendekati Malam Bom, Mulligan memperingatkan: "Sungguh menakjubkan betapa banyak orang tampaknya lupa bahwa kembang api adalah bahan peledak mini - dan tidak ada alasan bagus bagi kaum muda untuk bisa menanganinya."
Lebih dari 5.200 orang di Inggris pergi ke A & E untuk kembangapi dan cedera antara bulan April 2015 dan Maret 2016 seperti dikutip dari NHS.